Implante Dental Hospitalet de Llobregat: La Mejor Solución para Recuperar Tu Sonrisa

La salud bucodental es esencial para nuestro bienestar general y calidad de vida. Si resides en Hospitalet de Llobregat y estás buscando una solución confiable para reemplazar dientes perdidos o dañados, Implante dental Hospitalet de Llobregat son una excelente opción. En Mimaden, te ofrecemos tratamientos de implantes dentales diseñados para devolverte la funcionalidad y estética de tu sonrisa.
¿Qué es un implante dental?
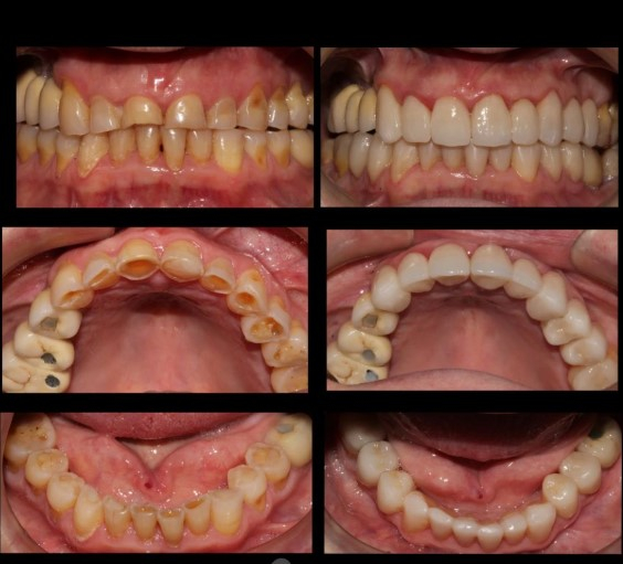
Un implante dental es una raíz artificial, generalmente fabricada en titanio, que se coloca quirúrgicamente en el hueso maxilar o mandibular para sustituir la raíz de un diente perdido. Sobre esta base, se fija una corona que imita la apariencia y función de un diente natural.
Beneficios de los implantes dentales:
- Aspecto natural: Los implantes dentales están diseñados para integrarse perfectamente con tus dientes naturales.
- Durabilidad: Con el cuidado adecuado, pueden durar toda la vida.
- Función mejorada: Permiten comer, hablar y sonreír con confianza.
- Preservación ósea: Ayudan a prevenir la pérdida ósea al estimular el hueso de manera similar a las raíces naturales.
- Comodidad: A diferencia de las prótesis removibles, los implantes son permanentes y no requieren adhesivos.
¿Por qué elegir Mimaden para tus implantes dentales en Hospitalet de Llobregat?
En Mimaden, combinamos experiencia, tecnología avanzada y atención personalizada para ofrecerte el mejor tratamiento posible. Nuestra clínica en Hospitalet de Llobregat se especializa en implantes dentales, asegurando resultados de alta calidad y un proceso cómodo para cada paciente.
Nuestro enfoque:
- Diagnóstico preciso: Realizamos estudios detallados como radiografías y tomografías para planificar el tratamiento.
- Materiales de alta calidad: Trabajamos con implantes de última generación que garantizan seguridad y eficacia.
- Equipo experto: Contamos con dentistas especializados en implantología con amplia experiencia en casos simples y complejos.
- Atención personalizada: Adaptamos cada tratamiento a las necesidades y expectativas de nuestros pacientes.
Proceso del tratamiento de implantes dentales
- Evaluación inicial: Se realiza una consulta para evaluar la salud bucal y determinar si el paciente es candidato para el procedimiento.
- Colocación del implante: En una cirugía mínimamente invasiva, se inserta el implante en el hueso.
- Fase de osteointegración: El implante se fusiona con el hueso durante unas semanas.
- Colocación de la corona: Una vez que el implante está integrado, se coloca la corona personalizada.
¿Cuánto cuesta un implante dental en Hospitalet de Llobregat?
El coste puede variar según factores como la cantidad de implantes necesarios, el estado del hueso y los materiales utilizados. En Mimaden, ofrecemos presupuestos transparentes y opciones de financiación para que puedas acceder al tratamiento sin preocupaciones económicas.
Recupera tu sonrisa hoy
Si buscas una solución eficaz y duradera para mejorar tu sonrisa, los implantes dentales en Hospitalet de Llobregat son la respuesta. En Mimaden, estamos comprometidos con tu salud bucodental y bienestar.
¡Contáctanos!
Visita nuestra página web mimaden.com/implantes para más información o agenda una consulta con nuestros expertos.
- Educación
- Course
- Books
- Drawing
- Question
- Film
- Fitness
- Food
- Juegos
- Gardening
- Health
- Home
- Literature
- Music
- Networking
- Other
- Programming
- Religion
- Shopping
- Sports
- Curriculm
- Wellness